とにょ
2024/10/12 21:00
怒涛の1週間⑰(突然だからサプライズなのだ)


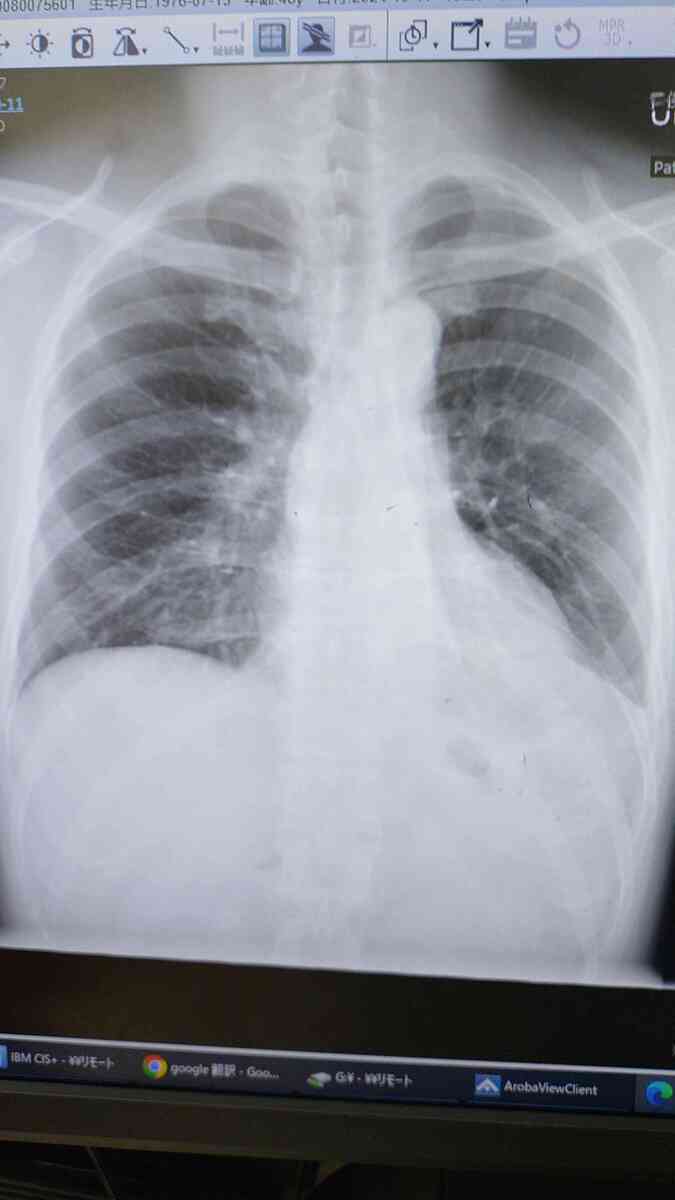
まずはコチラ、上は退院時で下は今日のワタシの肺です😀
上は左肺(写真では右側)の下に水が溜まっていて、右肺もやや萎んでいます。
下は左肺の水が無くなって右肺も大きくなっています☺️回復は時間がかかりましたが、軌道に乗って来ました
今日は上のお兄ちゃんがサプライズでお見舞いに来ました。先日の進水式からの岡山土産をこれまたサプライズプレゼント🎁
でも1番のサプライズは娘子に声が戻ってきたことで
「おにいちゃんありがとう😉」
「うぉわぁぁ!妹子喋ってる!すごいすごい😆」
とお互いサプライズ合戦になってました😭
「きょうね!わたしね!」
「何だい?ウンウン😭」
「2回ゲー🤮した😇」
「え?」
「え?」

娘子を見守ってくれるお守りがお守り達になりました☺️
コメントする
8
件の返信
(新着順)
ミュートしたユーザーの投稿です。
投稿を表示良かった🤣😭🍀🍀🍀
娘さん、声が戻り始めたんですね🎉🍀
✨✨✨ 本当に良かった🌸 嬉しい😆
頑張って居られますもんね😀👍💯🔥
ご退院🏁🎊に向けて、またちょびっとずつ前進ですね🍀🍀🍀
ゆっくりとまた一歩👣
応援しています😃🍀✨
ミュートしたユーザーの投稿です。
投稿を表示お嬢さんの笑顔が見れて嬉しいです。
良かったですね。
これで退院のみが残されたステージでしょうか。
レントゲン写真はお嬢さんのものかと期待しました。・・・(笑)
ミュートしたユーザーの投稿です。
投稿を表示喉の管があっても喋れるんですね😱✨
凄い元気になってる感じがします😀👍
トニョさんの胸に何やら、、、、🩻💦
そうか💡何か詰めるって言ってましたもんね😀💦
連休天気良くて良かったですね👍✨
ミュートしたユーザーの投稿です。
投稿を表示サプライズ登場のお兄ちゃんとの初飲み、格別の味だったでしょう😺
とにょさんちは、みんな、同じ方向を向いて頑張っているので、とっても応援したくなります
お留守かな?弟くんも、ここから(投稿)見えないところで頑張ってるなぁ、って思ってます
ミュートしたユーザーの投稿です。
投稿を表示おめでとうございます( ≧∀≦)ノ
初めて見る娘子さんの顔色が良いですね~🫡
そして声がでる様になって良かったですよ😃
凄いサプライズですね~😆
これからは季節が変わりますのでご自愛して下さいね~🫡
嬉しいですよ😅( ≧∀≦)ノ( ≧∀≦)ノ( ≧∀≦)ノ( ≧∀≦)ノ( ≧∀≦)ノ( ≧∀≦)ノ( ≧∀≦)ノ( ≧∀≦)ノ( ≧∀≦)ノ( ≧∀≦)ノ
ミュートしたユーザーの投稿です。
投稿を表示声出せるようになったのは喜ばしいですが顔がはっきりわかる写真は悪用される場合もあるのでやめといた方がいいと個人的には思います😅
ミュートしたユーザーの投稿です。
投稿を表示元気になりましたね
良かった😀
日本一のももたろう!🍑🐒🦮🦜
きびだんごが久々に食べたくなりました。
ミュートしたユーザーの投稿です。
投稿を表示うわぁ~〜〜。😳😳😳
チャント声が出るようになったんですね。😭😭😭
肺の移植をしてこんなに早く話せる様になるんですね。😳
日本の医療技術はスゴイ!!!😳😳😳
娘さんの頑張りもすごいですね。😳😳😳
この調子で無理をせずに頑張ってくださいと娘さんに伝えてください。☺️☺️☺️☺️☺️